Simplified Microscopic Implant surgical Lifelike Esthetics を略した手術名で、米国カルフォルニア州サンタバーバラで歯周病専門医として開業されていた、 Dr. Dennis Shanelec(故人)が考案した治療法です。抜歯した直後に仮歯を入れることによって,歯を取り巻く骨(硬組織)や歯肉(軟組織)の状態を維持できる非常に優れた方法です。しかし、手術としての難易度は非常に高いレベルに位置づけられます。
日本では、大阪府大阪市の南昌宏先生(南歯科医院) 奈良県橿原市の松川敏久先生(松川歯科医院)北海道札幌市の松本デンタルオフィス(松本和久先生)の3人が第一人者です。
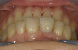
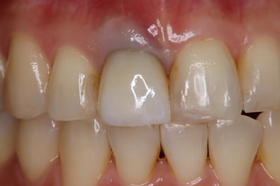
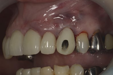
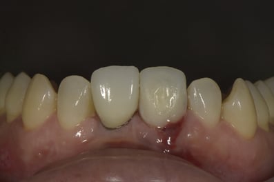
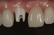
抜歯した直後にインプラントを埋入し、仮の歯を作製、唇側の骨のボリュームを保つために人工骨と結合組織を同時に移植する非常に優れた方法です。
しかし、非常に難易度の高い手術になります。
手術時間は3〜4時間です。
既存の骨の形態分類(ClassⅠ〜Ⅳ)のClassⅢまでは埋入可能とされています。
 
    
 
    
 
    
 
    
 
    
 
    
 
    
 
    
 
    
 
    
 
    
 
    
 
    
 
    
 
    
 
    
 
    
 
    
 
    
 
    
 
    
