肉眼でみると横の線にしかみえませんが、拡大するとNIPPONGINKOの文字の羅列であることがわかります。肉眼では不可能ですが、拡大すれば(約20倍)、Gという文字を的確に示すことも可能です。
時間をかけてやっていてもなかなか症状が良くならないことが、原因が判明することもあります。
肉眼ではわからないような虫歯を発見できたり,根の中に挟まっているものを確実に除去できたり,歯肉に触らずに歯石がとれたり,露出した神経に気付いたり,根の中のヒビにきづいたり・・・と顕微鏡下での拡大視野で得られる情報は膨大です。
当院では顕微鏡下の治療においては,必ず術後に動画による説明をしています。感動,関心をもってみていただける方も多いですが,なかなか理解していただけない方がいることも事実です。説明・理解・同意を目標としていますが,100%を求めることは不可能ですので,仕方ないと思っています。ただし,歯科治療において顕微鏡をみるということは、何が大切なことなのか、何が本当のことなのか、 誰のためなのか・・・など・・・ 歯科医療をとおして己の人生をまでも真摯に向かいあうことができることなのだと感じています。
左は歯の間にクラウンを装着した時のセメントが残っている状態です。今,この種類のセメントが多く使われていますが,残存したセメントをしっかり除去しないと,歯周病になります。
中央は,残存したセメントを除去している様子ですが,針のような器具の太さは,約0.1mmです。
右が残存セメントを除去したあとです。硬いセメントが入っていた場所の歯肉が押されて赤くなっています。
左 図:根管内にみつかった、破折器具(上顎第1大臼歯近心頬側根管 根管中央~根尖部)顕微鏡写真
中央図:器具を除去した根管内
右 図:除去された器具 長さ 2.5mm
根の治療と呼ばれる根管治療は、非常に難易度の高い治療です。上図の症例も入り口は完全に閉鎖していましたが、あることを手掛かりに発見できます。トンネルはあっても、入り口ががれきで塞がっていては見えないのと同じですが、何かしらの手掛かりはあるものです。入り口が見つかっても、正しい出口まで正確につまっているものを除去しないと正しい出口に到達しません。根管というトンネルは、先細りでなおかつ、曲がっていますので、簡単な治療ではありません。
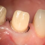
歯と歯肉の間にみえる黒いものは、圧排糸(あっぱいし)という専用の糸です。歯と歯肉の境目には歯肉溝(しにくこう)という溝がありますので、そこに適切な太さの圧排糸を留置し、歯を削ります。
いわゆる、型採り(かたどり)です。
歯肉圧排をマニアックな方法などという歯科医師もいますが、とんでもないことで、今でも型採りの前処置としては欠かせないステップです。
下顎完全水平埋伏智歯、半埋伏智歯や上顎の咬合平面より低位の智歯でも、顕微鏡をとおして得られる情報は、患者さんにもわれわれにも大変有意義です。また、智歯に限らず、抜歯後の抜歯窩内の肉芽組織の掻把には、かかせない機器です。
