破折歯(広義の),根管内穿孔修復(Internal & External)
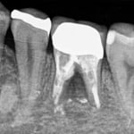
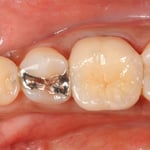
左図を拡大するとよくわかりますが、矢印の部分に確かに破折線がみえます。抜歯宣告を受けて当院を受診された方ですが、これは抜歯にはなりません。
このように、ヒビが見えるだけで、抜歯→インプラントとなるケースが、多くみられるようになってきました。
顕微鏡や動画による説明は、抜歯に誘導するツールではありません。治療のために使う重要なツールです。
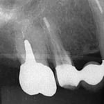
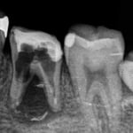
他院で抜歯と診断された症例です。友人の歯科医師の紹介で遠方から通院されました。初診時(左図)には、楔印で示すように、歯の根の先に黒い影が明瞭に写っています。が治療開始から8ケ月後(右図)では、黒い影は消えたり縮小しています。
歯の根の先の黒い影も消え(左図)、(手前は完全に消えていないが、完全な縮小傾向と症状がない)たので、クラウンを装着するための型採りをします。
右図の楔印は破折線です。破折線は特殊な方法で修復しています。
治療期間:約1年
治療回数:10回(1回/月)
治療費:29万円(根管治療+支台築造+セラミックス・クラウン)※毎回の処置料は別途
治療のリスク:他院では再治療ができないこと。
※リスクはどのような治療にも必ずあること。
#破折歯&根管治療
治療期間:約6ケ月
治療回数:6回(1回/月)
治療費:29万円(根管治療+支台築造+セラミックス・クラウン)※毎回の処置料は別途
※リスクはどのような治療にも必ずあること。
#穿孔修復
”穿孔”とは、簡単に言えば、歯の中に異常な”穴”が開いていることです。通常なら明らかに抜歯と診断されても不思議ではない症例ですが、時間をかけて修復しました。奥は他院で行ったインプラントですが、問題なく機能しています。
治療期間:約6ケ月
治療回数:11回(1~2回/月)
治療費:30万円(穿孔修復+根管治療+支台築造+セラミックス・クラウン)※毎回の処置料は別途
リスク:再治療は困難なこと。
※リスクはどのような治療にも必ずあること。
(そもそも抜歯の症例)
※この症例はのちに、根管外から穿孔部を再封鎖しました。
治療後2.5年経過しました。(2022年4月04日時点)
力及ばず、残念ながら、2023(R5)年4月 抜歯になりました。
#歯根破折
”VRF”とは、垂直歯根破折のことです。日常臨床では、よく遭遇します。当院では、スーパーボンドとグラスファイバーを用いて保存することを行っています。破折線内に存在する感染物質は、機械的に可及的に除去し、特殊な拡大形成後、スーパーボンドを流し込み、その後、カットしたグラスファイバーのスリーブを根管の形状に沿ってしっかり張り合わせます。トンネルの補強工事で行うシート工法という補強法と同じ考えです。
その後、2本のグラスファイバー・カット・スリーブと5本のバイアス構造のグラスファイバーのポストを挿入し、コアを築造します。この症例では、既存のブリッジを外すことができなかった(患者さんの希望)ので、そのまま使っています。
9年経過していますが、問題なく機能しています。(2023年9月11日時点)
治療期間:約7ケ月
治療回数:8回(1回/月)
治療費:20万円(破折歯修復+根管治療+支台築造)※毎回の処置料は別途
リスク:再治療は困難なこと。抜歯になった場合は、固定式の装置であれば4ユニットのブリッジか、インプラントとなること。
※リスクはどのような治療にも必ずあること。
(そもそも抜歯の症例)
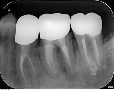
#穿孔修復(近心根の遠心壁)
大臼歯の近心根の遠心壁に大きな穿孔が生じていた症例です。体格の良い男性でした。CTによる読影でも、大きな透過像が確認されます。この症例は、チタンメッシュとスーパーボンドを用いて修復しました。
CTでは、頬側の骨が破壊されていないことがわかります。おそらく、治療できるギリギリの時期であったかもしれません。穿孔封鎖後、遠心根も近心根も清掃拡大し、バイオセラミックスにて根尖を封鎖し、グラスファイバーにて築造。上部構造は、メタルのクッション性、メタルマージンの補綴物によるフェルール(帯環)効果を考え、P.F.M.C.としました。
外科的な治療は、第一大臼歯であっても、患者さん個々の頬粘膜の開き具合などのよって可能な場合と不可能な場合もあり、歯牙の部位で可否を決定するべきでないと思っていますし、体格の良い男性でしたが、外科的な処置にはかなり臆病だと感じましたので、非外科的に治療ができてよかったと思っています。
術後、7年経過していますが、問題なく機能しています。
治療期間:約12ケ月(経過観察期間4ケ月を含む)
治療回数:12回(1回/月)
治療費:28万円(破折歯修復+根管治療+支台築造+補綴)※毎回の処置料は別途
リスク:再治療は困難なこと。(そもそも抜歯の症例)
※リスクはどのような治療にも必ずあること。
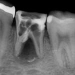
#穿孔修復(遠心根の近心壁)
大臼歯の遠心根の近心壁に大きな穿孔が生じていた症例です。
近心根の根尖部の透過像も消失。
遠心は、頬側、舌側ともに弯曲が強く、根管を探すのに苦労し、途中であきらめかけましたが、なんとか目標を達成できました。
治療には2年の時間がかかりました。(1回/月)今なら、もっと治療時間を短縮できると思いますが、患者さんもあきらめることなく、通院してくれました。
術後、4年経過していますが、問題なく機能しています。
治療期間:約24ケ月(経過観察期間8ケ月を含む)
治療回数:20回(1~2回/月)
治療費:28万円(穿孔歯修復+根管治療+支台築造+補綴)※毎回の処置料は別途
リスク:再治療は困難なこと。(そもそも抜歯の症例)
※リスクはどのような治療にも必ずあること。
#近心歯根(縦)破折 B-L
透過像が消失するまでに1年半かかりました。治療回数としては、10回以上。このような症例もありますが、あきらめずに行った結果であり、患者さんの残したい熱意もあって、原因究明できた症例です。歯根破折だけを治しても根管の原因を究明しないと良くならないですね。
#スプリット・トゥース(遠心根)
大臼歯の遠心根のスプリットの症例です。
遠心根を抜歯して近心根のみ保存することも考えています。
治療期間:10ケ月(遠方より通院)
治療回数:11回
治療費:30万円
リスク:再治療は困難なこと。(そもそも抜歯の症例)
※リスクはどのような治療にも必ずあること。
破折していた遠心根を整復しています。2年後に健診で来院してくれた時は感無量でした。
破折線を特殊な方法で均等に拡大します。これは、VカットとUカットを組み合わせた方法で、これによって、破折線に浸透させるスーパーボンドをより強固に維持します。拡大した溝は、塩化第二鉄を含有したエッチング剤で処理します。その後、X線造影性のあるスーパーボンドを流し込みます。なお、Vカット幅は、0.5mm以下 Uカット幅は約1.0mmです。
カットして、スーパーボンドを流し込むだけでは、破折したところを”くっつけた”だけで、補強にはなりません。また、どこまでカットするのかは企業秘密とさせていただきます。
これは、当院でのオリジナルの方法ですが、救えている歯が多くありますので、今後とも、研鑽を積んでいきたいと考えています。
God is in the details.
神は細部に宿りたもう
数年前、当院のホームページには、この言葉が掲載されていましたが、様々なことがあって、消していました。
ある学会で、この言葉を引用してポスターを出してくれているS先生と出会い、また、この言葉を掲載する気になりました。
これらの症例の治療費が、高いと感じる方も多くいらっしゃると思います。しかしながら、都会でも地方でも、購入する材料費や医療機器の価格は同じです。インプラントも簡単な治療ではありませんが、破折した歯を修復したり、穿孔がある歯を修復したりする方法も、大変な労力・根気が必要です。また、規格化された方法ではありません。今、歯科医療材料として使える材料を駆使しています。精神的な体力も非常に必要です。インプラントより安いカテゴリーだとは思えません。また、地方の技術が都会に負けているという事にしたくもありません。
