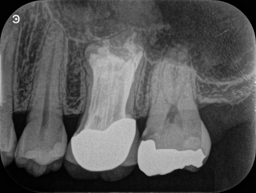
術後5年経過症例。樋状根は抜歯と判断されることが多いようですが、当院ではあきらめずに治療して良い成績を残しています。(7番の近心には、金属修復物下に虫歯があります。他院で定期健診を受けていたようですが、メンテナンスの仕方に問題はなかったでしょうか?)
樋状根の舌側には大きな穿孔。MTAにて埋められていましたが、MTAは魔法の薬剤に非ず。
治療後。根管治療+支台築造+補綴の全てを完結して、根管治療の予後は決定されます。根管治療だけをやって、あとは知らないというやり方は、本当に専門医のやることでしょうか?
患者さんは、結局は根管治療費は、根管治療専門医に支払い、築造を含めた補綴治療(築造は根管治療専門医がやることもある)は補綴専門医や、かかりつけ医で支払うことになります。
”患者さんのため”ではないような気がしますが、誰のためなのでしょうか?
根管治療について
材料について
根尖の封鎖などには、健康保険適応外の材料を使用します。根の中の洗浄には薬品はほとんど使用しません。
治療回数:診査・診断1回
治療 1回/月×5回〜10回(築造や補綴は含まれません)
利点と欠点
抜歯をしなくても残せる場合が多々あります。
治療後に若干の痛みなどが生じる場合もあります。
非外科的に治癒しない場合、外科的な治療法に移行する場合や抜歯になる可能性もあります。
成功率は100%ではありません。痛みや不快症状の発現には個人差もあります。
定期健診について
定期健診は非常に重要です。定期健診の受診の可否が治療の補償についても関係します。
治療費用(根管治療のみ) ※CTなどの検査費用は含まれません。
60,000円〜120,000万円(税別)
※根管内穿孔封鎖や歯根破折を伴う症例は、別途、追加料金が発生します。
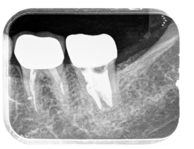
初診
樋状と言っても、今の人達には言葉の意味が分からないでしょう。下の図のように雨樋の断面のことです。
歯科の業界でもC-Shapedと呼ぶことが多いかもしれません。
歯根の周囲には、歯根を取り巻くようなX線透過があります。(炎症があるということです)
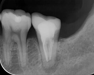
ガッタパーチャを完全に除去し、別の薬に置き換えました。別の薬が根の先まで到達しているのがわかると思います。
根管の中には、ガッタパーチャという天然ゴムの根管充填材がありますが、これが緊密に歯根の尖端まで充填(詰め)されていないので、このような状態となっています。まずは、このガッタパーチャを完全に除去することが重要です。
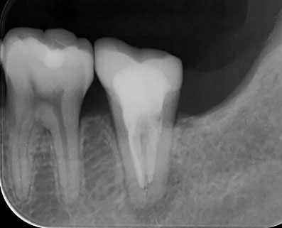
このような状態になるまで、根管の中を綺麗にしていきます。実はこの作業は非常に難しいです。図の右の凸部は歯なのですが、この裏には歯槽骨(骨)が入り込んでいて、薄皮1枚みたいな状態です。これに穴をあけると、また別の問題が生じます。
約1ケ月後ですが、根の先の炎症の証である透過像は、消失し、噛むと痛いなどという臨床症状も消えました。
材料について
根尖の封鎖などには、健康保険適応外の材料を使用します。根の中の洗浄には薬品はほとんど使用しません。
治療回数:診査・診断1回
治療 1回/月×5回〜10回(築造や補綴は含まれません)
利点と欠点
抜歯をしなくても残せる場合が多々あります。
治療後に若干の痛みなどが生じる場合もあります。
非外科的に治癒しない場合、外科的な治療法に移行する場合や抜歯になる可能性もあります。
成功率は100%ではありません。痛みや不快症状の発現には個人差もあります。
定期健診について
定期健診は非常に重要です。定期健診の受診の可否が治療の補償についても関係します。
治療費用(根管治療のみ)
60,000円〜120,000万円(税別) ※CTなどの検査費用は含まれません。
※根管内穿孔封鎖や歯根破折を伴う症例は、別途、追加料金が発生します。
