露出した歯根を自家移植にて元通りに修復します。この症例は術後14年経過していますが,後戻りはありません。露出した歯根にレジン(プラスティック)を容易に詰めるのが普通の方法ですが,それを繰り返していると,写真上段のようになり,歯はどんどん長く見えるようになります。
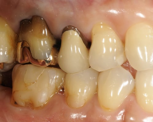
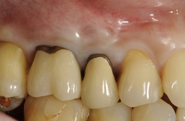
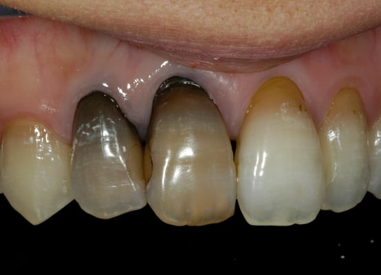
神経を除去した後,保険治療で使われる銀を多く含む金属を歯の中に入れていた時代がありました。(今もあります)金属のイオンが歯の中や歯肉に染み込み,このようになることがあります。歯の内部や歯肉に染み込んだ銀は容易にとれません。この症例の場合,根面被覆と同時に歯肉を厚くすることによって金属の色を隠しました。
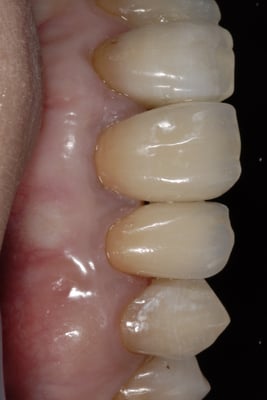
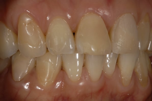
右上(写真では左になります)犬歯の露出した歯根を被覆しました。犬歯は比較的,このように歯肉が退縮することが多い理由があります。矯正治療後にもこのようになることもあります。レジンを盛ったら,どんどん退縮して,歯が長くなってしまいます。この方法では,歯を削ることはなく,最も侵襲が少ない治療法です。
顕微鏡下での手術になりますが,術後の痛みはほとんどありません。
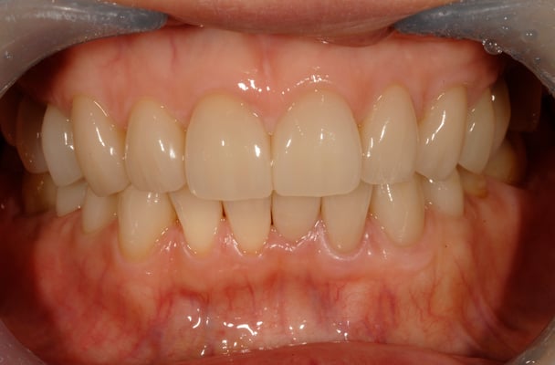
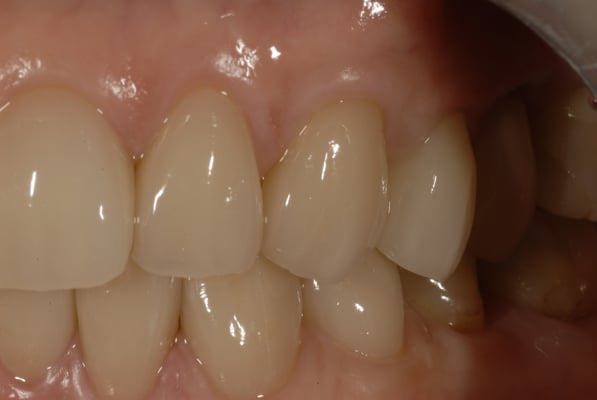
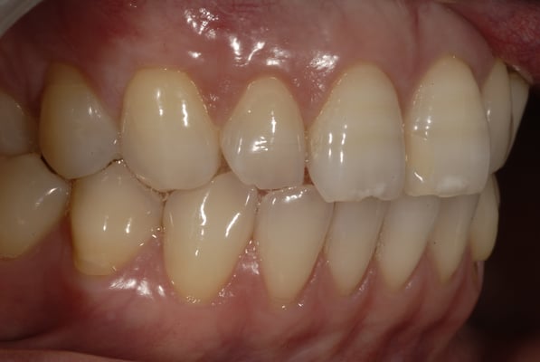
上は右側第1小臼歯~左側犬歯。下は右側第1小臼歯~左側第1小臼歯まで,根面被覆とオールセラミックス・ラミネートベニアで治療した症例。
術後,10年以上経過していますが,変化なしです。
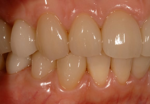
上顎右側第一大臼歯
もう1回,移植すれば,もっと被覆できると思います。場所的にも難しい症例です。
