患者さんは何度説明しても虫歯の治療,虫歯の治療と思っていますが,これは根管治療です。上顎第一大臼歯の3本の主たる根管(神経や血管の入っていた管)を神経を取った後に感染を起こし,再治療の際,3本中の2本の管から大量の膿が排出してきた瞬間です。
神経を除去した後でも,その後の処置がしっかりしていないと,管の中に細菌が繁殖し,骨の中に炎症を起こした結果,このように膿が溜り,激痛が生じます。
爪は硬い組織です。ゆえに,詰めの内部で内出血を起こしても,腫れるに腫れられません。ですので,爪に注射針などで穴をあけ,内圧を開放してあげることによって,痛みから解放されます。私自身,体験もしており,痛みが強すぎて,深夜に親指の周囲に麻酔をしたことがあります。歯の根の中の細菌感染によって生じる痛みもまったく同様の理由です。
当然ながら,中古のホースでどこかに劣化があれば,そこから水は漏れます。新品ならば,漏れることろがなくて,ホースは,壊れるまでパンパンに膨らむでしょう。この動画はホースの蛇口を開放してあげた状態です。これで,痛みは徐々におさまります。対処療法としては抗生物質を投与することもありますが,レーザーを当ててもよくはなりません。
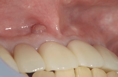
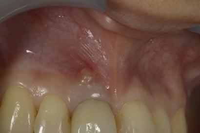
前歯の歯肉に近い場所に”おでき”のようなものができています。これを瘻孔(ろうこう、サイナス・トラクト)といいます。
歯の根の”破折”や”ヒビ”がある時にもできますが、状態が違います。ここでの瘻孔は、神経がない歯の根の先に炎症が生じ(根尖病巣)、それが歯の根を支える(歯槽骨)と歯肉を経由(瘻管形成)して、出口がこの瘻孔となります。当院では、根尖病巣が原因で生じた瘻孔は、1回の治療後、約3日〜1週間で消失させることが可能です。
この症例では、治療後3日で瘻孔は消失しました。
歯の神経を除去する治療をしていない歯であっても、何らかの原因で歯髄が死んでしまい、同様に瘻孔形成をすることもあります。
神経の治療をした歯で、一度、詰めた根の薬や土台を外すのは、慎重に施術しなければなりません。
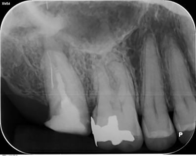
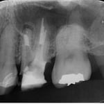
右上7番
根管内には、3本の破折ファイルの残存。それ以外は、多量の軟化象牙質(一部は髄床底穿孔)。根尖病巣の存在。対合歯とのクリアランス少なく、保存するにも補綴するには無理か?と思われましたが、約1年。月に1度。当院から片道2時間半、かけて通っていただき、無事に補綴に至りました。
これから矯正治療になりますので、まだまだ長い道のりです。
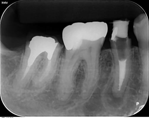
1年後
根尖の透過像も消失し、自覚症状(咬合痛などもありません)安心して最終印象採得(型どり)を行いました。
当院では、CTやレントゲンを撮影して悪い像(根尖などのX線透過像)が消失するのを確認してから補綴するようにしています。
透過像が残っているまま、治療を終了させるアメリカ的な合理主義的な考え方には断固として共感できませんね。
