補綴物の装着

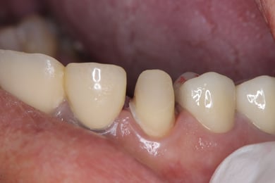
仮歯を外して・・

仮の歯を装着したセメントが、歯にも付着していますが、これを綺麗に除去しないと、最終的な歯の接着に影響を与えます。

接着性阻害因子


アルミナ粉末

アルミナの粉末を吹き付けて、歯に付着した残存セメントを除去します。


エッチング

塩化第二鉄を含有するクエン酸でエッチングをします。


補綴物の酸処理

二ケイ酸リチウムを素材とするセラミックス補綴物の内面は、フッ酸で酸処理します。

曇りガラスを作るのを同じようなことです。表面を粗造にすることで、接着剤の機械的な嵌合力も増します。

 


補綴物表面の処理

補綴物の表面に水溶性の分離剤を塗布することにより、余剰なセメントが補綴物に接着しないようにします。


接着前の準備

マスキングテープを使って、隣の歯や歯肉溝にセメントが流れ落ちないようにします。


補綴物が脱落するのは、接着剤や合着剤だけのせいではありません。歯の削り方、噛み合わせ、型採りなど様々な原因がありますが、このような工程を踏んで、脱落しにくい補綴物の装着ができる一助になります。

1本の歯を装着するのに、約30分くらいは時間がかかります。