Esthetic
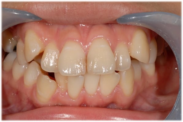
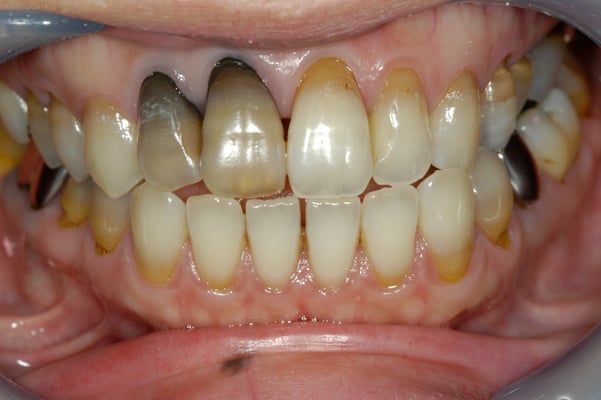
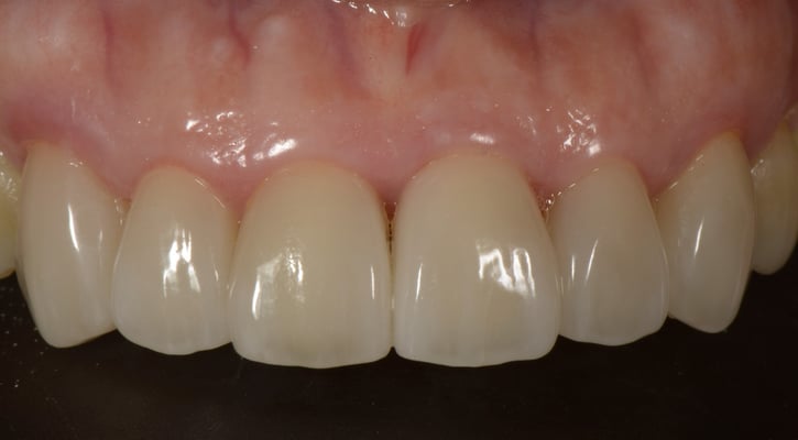
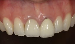
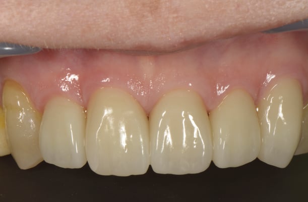
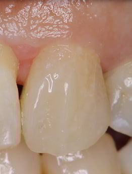
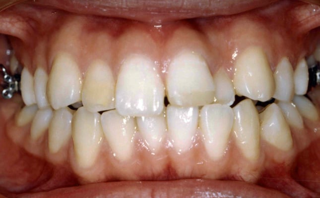
この症例は、再根管治療後の補綴ですが、前処置として、2本の前歯の歯根相当部に結合組織を移植しています。術前に比べると歯肉がきれいになっています。また、移植することで、黒っぽい歯根の色を隠しています。絶対必要な治療ではないかもしれませんが、このようにすることで、より、レベルの高い治療結果を得ることができます。歯肉を漂白しただけでは、このような症例はきれいにはなりません。また、セラミックスのクラウンを入れ替えるだけでは、このような結果は得られません。
治療期間:約1年(2014年治療開始)
治療回数:13回
治療費:お問合せください。(根管治療+支台築造+セラミックス・クラウン)※毎回の処置料は別途
治療のリスク:他院では再治療ができないかも知れないこと。
※リスクはどのような治療にも必ずあること。
治療終了時から7年以上経過していますが、何も変化はありません。(2022年11月時点)
当院では、年間をとおして、被せたクラウンなや築造体(患者さん用語で土台)などの補綴物の脱離はほとんどありません。特に築造体については、1つもありません。それは、独自の方法にて土台を構築しているからです。被せモノや土台の脱落がないというのは、患者さんにとって大きな利点だと考えています。
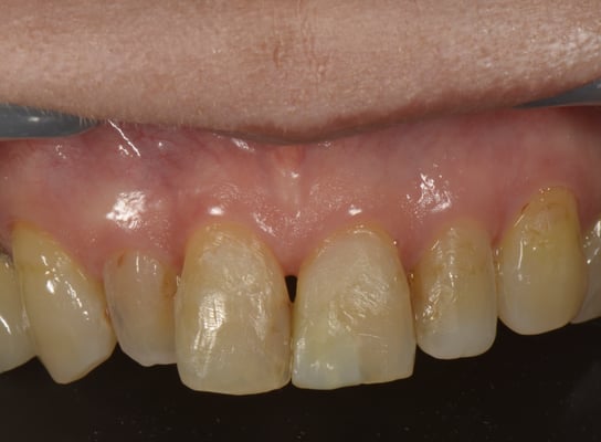
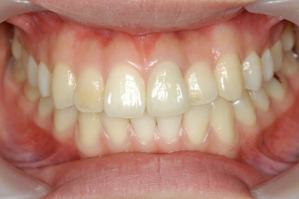
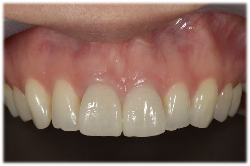
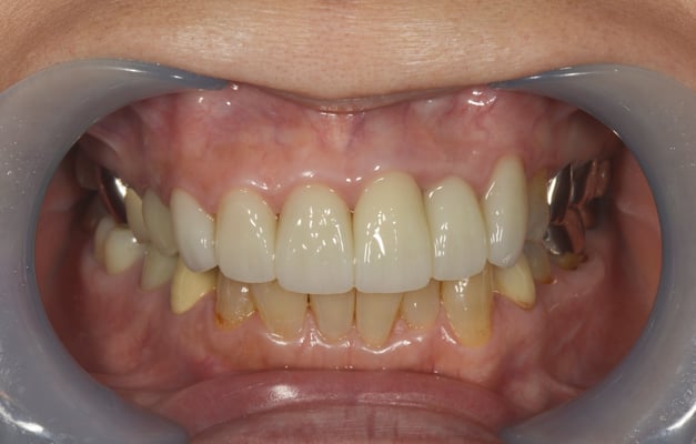
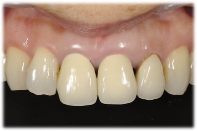
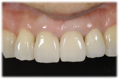
患者さんの希望で、矯正治療や抜歯、インプラントなどの外科治療は一切しないで、
歯を削る、仮の歯によって歯肉の形を整えるなどによるテクニックにて治療した症例。
新たに神経を除去した歯もありません。ベニアとクラウンの組み合わせです。
良い結果を得るには、時間も必要です。なんでも早くするのが良い結果につながるわけではありません。
急がせれば、それなりの結果にしかなりません。皆さんがやられている仕事も、そうではないでしょうか?当院では、時間をかけてゆっくりと治療しています。(1回の治療時間は長いです)
コロナ禍での治療でしたが、患者さんは、早くコロナが終息してマスクを外したいとおっしゃってました。
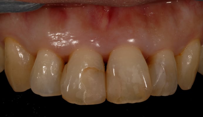
治療期間:約1年以上
治療回数:10回以上 (1回/月)
治療費:お問合せ下さい。(オールセラミックス補綴物は、オールセラミックス・ベニア+オール・セラミックス・クラウン)※毎回の処置料は別途
治療のリスク:他院では再治療ができないかも知れないこと。
※リスクはどのような治療にも必ずあること。
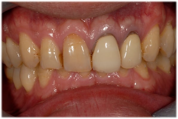
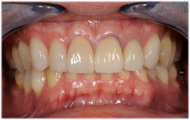
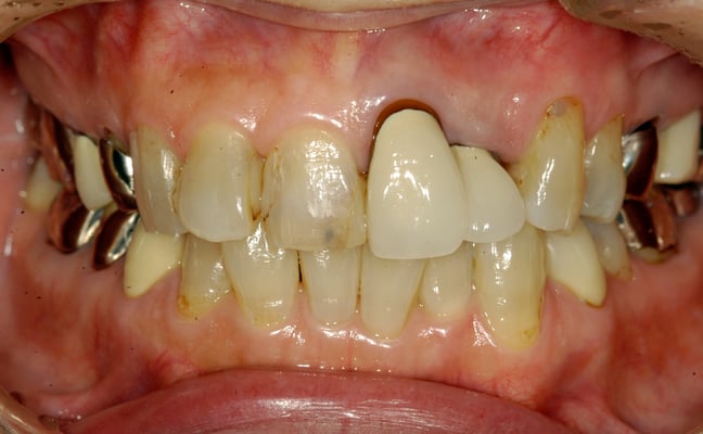
この症例も、神経を除去するなどの治療はしていません。右上側切歯も舌側に転位していますが、歯を削るテクニックのみで、補綴治療をしました。
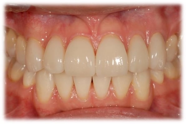
治療期間:約1年弱
治療回数:10回以上 患者さんの都合により (1回/月)
治療費:お問合せ下さい。(オールセラミックス補綴物は、オールセラミックス・ベニア+オール・セラミックス・クラウン)※毎回の処置料は別途
治療のリスク:生活歯が壊死する可能性はあるかも知れません。補綴物は簡単には外せない。
※リスクはどのような治療にも必ずあること。
「明眸皓歯」とは、美女の形容で、白く美しい歯並びの意味です。
辞書を引くと、美しく澄んだ目もとと、白く美しい歯並びの意から。非業の死を遂げた楊貴妃をしのんで、唐の詩人杜甫が作った詩の語で、もとは楊貴妃の美貌を形容した語。▽「眸」は瞳のこと。「皓」は白くきれいなこと。と書いてあります。
口元がきれいになると自信がでてきます。
「気持が変われば行動が変わる 行動が変われば生活が変わる 生活が変われば人生が変わる」 という言葉がありますが・・・
少し、言葉を入れ替えてみると・・・
”歯が変われば気持が変わる 気持が変われば行動が変わる 行動が変われば人生が変わる”
といえるのではないでしょうか?
審美歯科とは、綺麗な歯並び・白い歯はバランスのとれた口元を作り出し、自信を持った明るい性格を導き、周りの人に清潔感を感じさせ生き生きとした生活ができるようになります。
