左 :歯の根元に生じた虫歯です。(茶色の部分)この状態では、どこまでが歯なのか歯肉に覆われていてわかりません。通常、このままプラスティックを充填してしまうことが多いようです。
中央:歯と歯肉の境目に、圧排糸を挿入(麻酔をしてあります)します。※治療後、もちろん、圧排糸は除去します。
右図:圧排糸の効果で、歯の全面が見えてきました。左図に比べると、虫歯を除去したり、プラスティックを充填する範囲が極端に違ってくることがわかります。
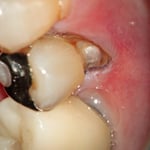
虫歯を丁寧に除去すると、かなり深い場所まで虫歯があることがわかります。虫歯を完全に除去し、接着操作のために酸で歯面を処理します。特殊なセメントをキャリアし、象牙質に緊密な絆創膏を貼ります。(周囲の象牙質の耐酸性が向上する効果もあります)この症例の場合、欠損部にグラスファイバーのポストをたてました。(縦方向の力に耐えるため)プラスティックを充填して完了です。
これは、歯を削ったあと、最終補綴物を作るための型採りの準備としての歯肉圧排です。
隣り合った歯と歯の間に入っている黒いものが圧排糸と呼ばれる専用の糸です。
さて、この症例の場合、歯と歯の間の距離はどれほどでしょうか?
金属の器具の先端の丸いボールの直径が約0.5mmですので、歯と歯の間は、約1mmです。
これは、左上の奥歯ですが、1mmしかない場所に、このように正確に糸が入ると思いますか?
型採りの時も顕微鏡を使っています。
非齲蝕性歯頚部疾患とは・・
