ソケット・プリザベーションとは、抜歯した後の骨の吸収を防ぐための処置のことをいいます。
抜歯後の骨吸収を防ぐには非常に有効な方法で、当院では、水酸化カルシウムを原成分とした、サイトランス(GC社)を用いており、動物由来の骨補填材は使用しておりません。
費用 1歯(税込)
¥55,000
デメリット
リスクと副作用
ひとりぼっちじゃ、寂しいじゃないか。。。
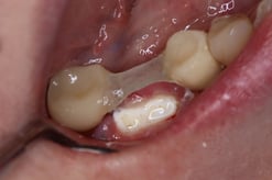
最後臼歯の第二大臼歯は、智歯(親不知)がまともにあれば別ですが。。手前の第一大臼歯(6歳臼歯)がなくなると、一人ぼっちになってしまいます。
このような症例は、当院ではインプラントになることが圧倒的に多いのですが、抜歯→プリザベーション→インプラント埋入→暫間被覆冠(仮の歯)までに半年以上はかかります。
その期間、第二大臼歯が頼れるのは、第二小臼歯だけなのです。しかし、恋人との距離が遠く、遠距離恋愛みたいなものです。
この遠距離恋愛の橋渡しをしてくれるのが、グラスファイバーとスーパーボンドです。
このように固定しておくことによって、第二大臼歯の傾斜や近心移動も防止できますし、第二小臼歯の遠心移動も防止できると考えています。
医療法人こたけ会 たけい歯科クリニック 3rd.Stage
〒370-0081
群馬県高崎市浜川町1659-4
